■「病院に入る手前で意識がなくなった」・・・体験者が語る

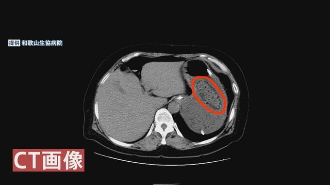
「柿胃石」になってしまった70代の女性が、当時の様子を話してくれました。
柿胃石になった70代女性
「1日10個以上は食べてました。毎日のように。病院に入る手前で意識がなくなった。先生が後日に写真見せてくれて、胃に1つ、わりと大きな石ができていたと教えてくれた」
■柿の渋みの主成分「シブオール」が石に

なぜ、柿で胃に石ができてしまうのでしょうか。実際に「柿胃石」の患者を診たことがある、あい太田クリニックの芳賀紀裕院長にお話を伺いました。

あい太田クリニック・芳賀紀裕院長
「柿の渋みですね。その主成分である『シブオール』というものが胃の中で酸とかと合わさることによって、周りの食物繊維とかを巻き込んで石になるといわれています。小腸から取り出したのは大体4センチ強の石でした。食べた後に(数年かけて)、徐々にというよりは比較的早く石になるようです」