CT画像にも白い塊がはっきりと…粘着性のある餅は腸にもくっつきやすい
答えてくれたのは、北品川藤クリニックの石原藤樹院長。石原院長のもとにも年末年始になると腹痛を訴え、餅による腸閉塞だと疑わしい患者が訪れるという。
そもそも、なぜ餅で腸閉塞が起こるのだろうか。
石原院長によると、餅は体内に入ると消化酵素との関係で硬くなりやすく、塊のまま腸まで流れていきやすいという。しかも粘り気があるため、腸の一部にくっついて一時的に腸が詰まった状態となってしまうのだ。
また、石原院長は「餅には悪い条件が重なっている」と話す。

北品川藤クリニック 石原藤樹院長
「お餅ってちょっと大きいままでも食べてしまいやすく、割と丸飲みしやすいんですよね。高齢者にとっては嚙み切りにくくて、少し硬めの餅だと歯ごたえもあるし、歯や顎の力が必要になってくる。伝統食だから高齢者の方が好みやすいし、悪い条件がそろっているかな」
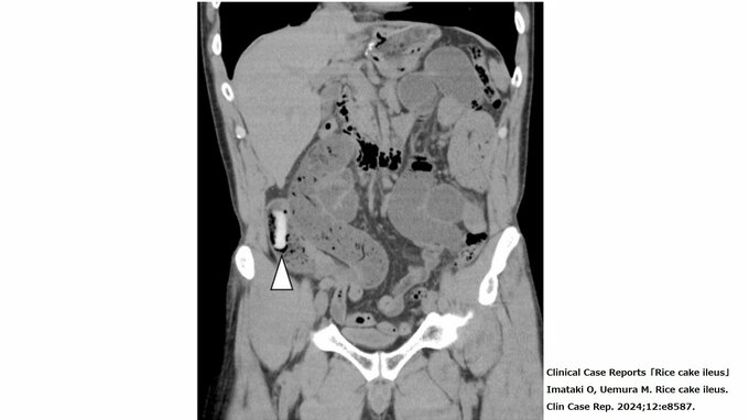
餅による腸閉塞は窒息事故ほどの発生件数はないが、毎年数人はいるようで学術論文での言及もいくつかある。香川大学・今滝修さんの論文「Rice cake ileus」には、実際に餅が腸に詰まっているCT画像も掲載されている。

CT画像には、白い4cm程度の細長い形状のものが写っている。これが体内で硬くなった餅で、腸の流れが悪くなって「餅による腸閉塞」になるのだという。
ここまではっきりと画像で餅が詰まっているのがわかるとは、驚きである。
新年早々、腹痛で苦しみたくはない。石原院長によれば、特に注意が必要な人がいるという。