実際の授業では、どう使い分けたら学習効果が高いのか
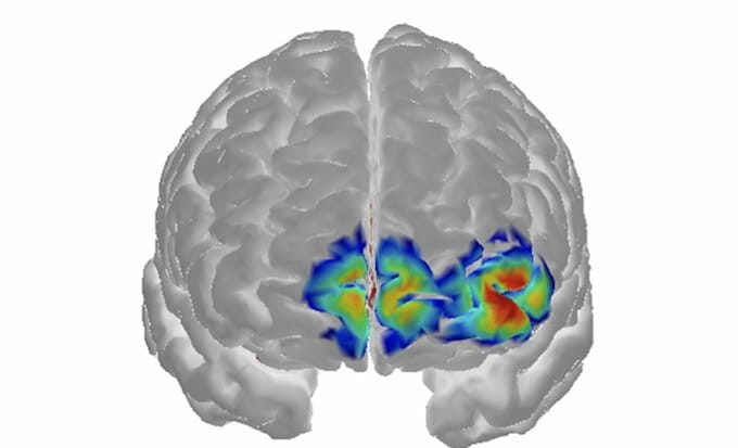
さらに、相手の気持ちや意図を理解する社会性に関わる領域の脳活動の同調度が高いペアほど、練習のタイミングに関わらず語彙の学習効果も高いことが示され、対話そのものが学習を助けるという関連性も発見されました。
この結果について研究チームは、教師が授業を組み立てるうえで「授業の目的に応じて単語練習のタイミングを変える」ことでより学習効果を得られる可能性があると指摘します。たとえば、英単語を正確に覚えさせたい授業なら「前」、対話力や協働力を伸ばしたい授業なら「後」といった柔軟な使い分けです。
さらに、英会話スクールやビジネス英語研修、自主学習やアプリ学習などでも学習順序の最適化が期待できるといいます。







