人気お笑いコンビ・サンドウィッチマンの富澤たけしさんが、「また、来たか…!」というタイトルで自身のブログを更新し、病院に行ったことを明かしました。
富澤さんは「何日か前の背中の痛み、腹痛、吐き気とあぶら汗。あれ、もしかして…と思いつつも痛み止めを飲んでやり過ごす。」と報告。
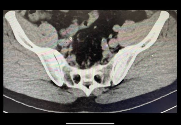
続けて「そして血尿。あぁ、また来たか…!何日か血尿が続くので病院へ。」と綴ると「ありました、尿路結石!」と、自身の症状を明かしました。
富澤さんは写真をアップし「もう何回目になるのだろう?今回は約6ミリの石を確認。一度痛みは来たのでもう来ないといいのですが。」と、不安な思いをファンに伝えています。
富澤さんは、5月に自身のブログで、、草野球であばらを骨折していたことを明かしていました。
【担当:芸能情報ステーション】














